
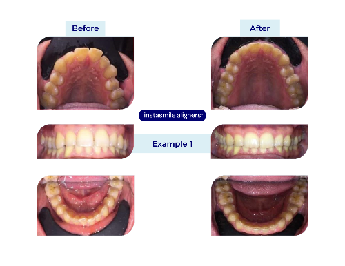
CROOKED TEETH
instasmile Aligners are ideal to straighten mild to moderate crooked teeth within 6 months. If you have severely crooked teeth or require an extraction you may not be suitable for the product.

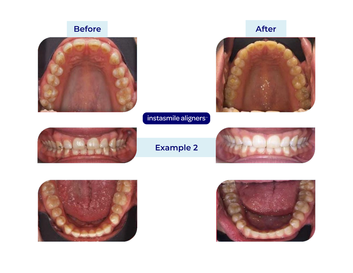
CROSS BITE
A single tooth or a group of teeth can be in a mismatch with the opposing teeth. Correcting their alignment is extremely crucial to safeguard you from bone loss and worn-out teeth.

GAPS
Gaps between one or many teeth can make your smile unattractive. Closing such gaps can improve your speech and resolve aesthetic concerns.